Exams and Dental Cleaning
At Blossom Dental, we prioritize proactive oral hygiene practices. We believe regular exams and cleanings are vital in addressing and detecting any potential issues before they become more severe. Experience a thorough checkup and dental cleaning that leaves your teeth free from harmful debris and bacteria.

Your first visit to our office
establishes your oral health baseline and provides essential information on your dental interests and needs as well as any symptoms that you may be experiencing.
We begin by carefully reviewing your medical and dental histories then taking special note of all of your dental concerns. Periodontal risk assessment is also performed to take into consideration systemic diseases, medications and behavioral habits like smoking and stress grinding.
Our comprehensive exam includes
examining your tongue, lips, gingiva and surrounding areas of the mouth head and neck for optimal oral health and hygiene.

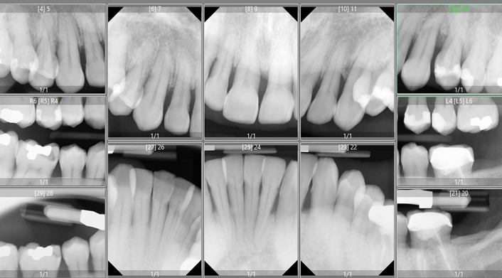
A part of your exam
is taking multiple diagnostic x-rays in addition to Digital intraoral 3D scan. The initial conversation is then followed by comprehensive exam which includes simple oral cancer screening, periodontal evaluation and probing, checking for signs of clenching or grinding as well as assessing your TMJ functions.
How are Teeth Cleanings performed?
Dental cleanings are performed by our dental hygienist in a typically simple and pain-free procedure. If you have sensitive teeth or any other condition that may cause discomfort, numbing gel or local anesthesia can be used.
Depending on how much buildup and stain you have, as well as our hygienist preference, Dental Hygiene procedure can be performed using hand scalers, ultrasonic scaler or both for best results. Hand scalers are dental hygiene instruments that are professionally and specifically designed to scrape and clean deposits on the teeth without causing harm to your teeth or gums. Ultrasonic scalers are powered hand piece works with stream of water and different vibration frequencies to clean your teeth.
After teeth cleaning, teeth are polished with a paste to remove stains and flossed to ensure you get a fresh and clean smile. Our dental hygienist will provide you with home oral care instruction to keep your teeth clean.

Signs and symptoms of periodontal disease
While pain is rarely a symptom, however usually there is discomfort associated to gum disease such as:
- Tooth sensitivity
- Gum recession (taller teeth)
- Bad breath
- Bleeding and sore gums
- Change in the tooth alignment
The stages of periodontal disease
Gingivitis
is the First stage and mildest form of periodontal disease. It causes the gums to become red, swollen, and bleed easily. Gingivitis is often caused by inadequate oral hygiene. Gingivitis is reversible with professional treatment and good oral home care.
Periodontitis
Untreated gingivitis can advance to periodontitis. With time, plaque can spread and grow below the gum line. The toxins stimulate a chronic inflammatory response in which the body in essence turns on itself and the tissues and bone that support the teeth are broken down and destroyed. Gums separate from the teeth, forming pockets (spaces between the teeth and gums) that become infected. As the disease progresses, the pockets deepen and more gum tissue and bone are destroyed.
Advanced periodontitis
As periodontitis advances, pockets deepen even more and can fill with pus. Around the roots of the teeth, the gums may start to swell. Bone loss continues. The teeth may feel sensitive to heat or cold and may hurt when brushed. Teeth loosen more. In some cases, teeth may need to be removed to keep the disease from spreading.
Different types of Dental cleaning
Prophylaxis Dental cleaning: it is a routine preventive dental cleaning procedure that is meant for individuals with overall healthy mouth. This type of dental cleaning is typically to remove deeper and hardened plaque that wasn’t cleaned off properly. If you brush your teeth twice daily and floss between them, then prophylaxis dental cleaning might be all you need. We recommend this every six months to maintain healthy teeth along with daily oral hygiene practices.
Scaling and Root planning
Scaling and root planning is a therapeutic dental cleaning done to stop spread of infection and bone loss. SRP targets plaque that hardens overtime when not cleaned. Plaque hardens and turns into tartar (calculus) and causes gingivitis (gum disease), bleeding and swollen gums. When not treated, gingivitis can progress to periodontitis which is more severe due to formation of pockets which can eventually lead to gum recession, bone and tooth loss. This is a slightly more invasive teeth cleaning procedure that involves deep cleaning below gum line and smoothening root surface. This procedure requires numbing and may be done in multiple visits. Arestin is used in combination to scaling and root planning to treat patients with periodontitis.
Arestin
(Minocyclin) is a biocompatible, localized, slow release antibiotic which is placed in the pockets after scaling and root planning at the site of advanced gum disease thus maintaining high-level of antibiotic right at the gum disease site without exposing the rest of the body to antibiotics. It targets and fights the infection that causes gum disease in pockets that are more than 5 mm which helps to further reduce the pocketing.
Arestin dissolves on its own after 30 days. It is important not to use floss or tooth pick at the site of placement for at least 10 days.
Periodontal Maintenance
Follow up dental cleaning focused on maintaining the health of your gums after they have been treated for disease. This is more detailed than regular cleaning and might be more frequent every three to four months.
Tips on how to brush your teeth
- Brush your teeth twice a day for at least 2 minutes each time. We recommend using Soft bristles brush, and an electric tooth brush instead of manual brush.
- Be aware while brushing your teeth. Don’t forget inner surface of your teeth.
- Keep the brush at 45-angle degree to the gums. Move from the gums toward the tooth or if you prefer use circular or elliptical motion.
- Gently move the brush in short back and forth (tooth size) movements. Avoid aggressive scrubbing.
- Floss to clean between your teeth. Brush your tongue for fresher breath.
Ensure comprehensive oral care by combining regular brushing, flossing and professional dental cleaning. At Blossom Dental, we’re committed to helping you achieve and maintain a radiant smile.